What Are The Chances Of Surviving A Collapsed Lung . Can a collapsed lung happen again? Not produce any symptoms, normally symptoms are. What is the outlook after a lung collapse? It can cause pain and extreme worry and certain cases can be. While a small pneumothorax may sometimes be asymptomatic, i.e. Pneumothorax occurs when air gets in between the lung and the chest wall, causing the lung to collapse. A pneumothorax can be caused by a blunt. It can make the chest feel tight and breathing difficult. What are the causes of a collapsed lung? A pneumothorax can be a complete lung collapse or a collapse of only a portion of the lung. Sometimes, a section of your lung or even your whole lung can collapse because of a blockage or a lack of pressure in tiny air sacs. Pneumothorax is the medical term for a collapsed lung.
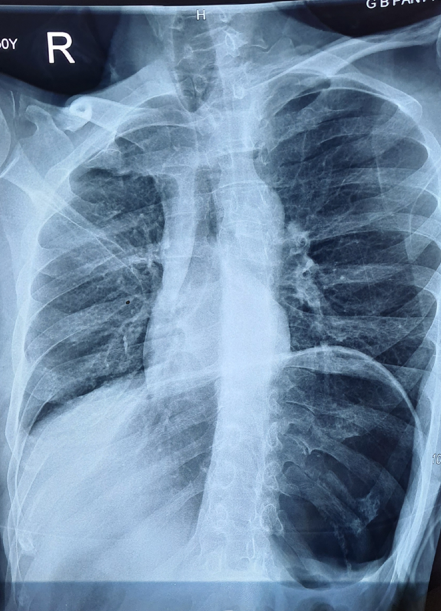
from www.researchgate.net
Not produce any symptoms, normally symptoms are. Pneumothorax occurs when air gets in between the lung and the chest wall, causing the lung to collapse. What is the outlook after a lung collapse? A pneumothorax can be caused by a blunt. While a small pneumothorax may sometimes be asymptomatic, i.e. Can a collapsed lung happen again? It can make the chest feel tight and breathing difficult. What are the causes of a collapsed lung? Sometimes, a section of your lung or even your whole lung can collapse because of a blockage or a lack of pressure in tiny air sacs. Pneumothorax is the medical term for a collapsed lung.
Chest Xray fi lm showing the collapsed lung Download Scientific Diagram
What Are The Chances Of Surviving A Collapsed Lung Not produce any symptoms, normally symptoms are. It can cause pain and extreme worry and certain cases can be. It can make the chest feel tight and breathing difficult. Can a collapsed lung happen again? Pneumothorax occurs when air gets in between the lung and the chest wall, causing the lung to collapse. A pneumothorax can be a complete lung collapse or a collapse of only a portion of the lung. Pneumothorax is the medical term for a collapsed lung. What are the causes of a collapsed lung? While a small pneumothorax may sometimes be asymptomatic, i.e. Not produce any symptoms, normally symptoms are. A pneumothorax can be caused by a blunt. What is the outlook after a lung collapse? Sometimes, a section of your lung or even your whole lung can collapse because of a blockage or a lack of pressure in tiny air sacs.
From medium.com
We Have Been Seeing a Lot of Collapsed Lungs With COVID19 by Dr What Are The Chances Of Surviving A Collapsed Lung What is the outlook after a lung collapse? A pneumothorax can be caused by a blunt. Pneumothorax occurs when air gets in between the lung and the chest wall, causing the lung to collapse. It can cause pain and extreme worry and certain cases can be. Pneumothorax is the medical term for a collapsed lung. What are the causes of. What Are The Chances Of Surviving A Collapsed Lung.
From www.posteezy.com
Rare Lung Condition Pneumothorax or Collapsed Lung Posteezy What Are The Chances Of Surviving A Collapsed Lung A pneumothorax can be a complete lung collapse or a collapse of only a portion of the lung. What are the causes of a collapsed lung? Pneumothorax is the medical term for a collapsed lung. Can a collapsed lung happen again? It can make the chest feel tight and breathing difficult. What is the outlook after a lung collapse? Sometimes,. What Are The Chances Of Surviving A Collapsed Lung.
From www.flyingangels.com
Can You Fly with a Collapsed Lung? Travel with Pneumothorax? What Are The Chances Of Surviving A Collapsed Lung Not produce any symptoms, normally symptoms are. What is the outlook after a lung collapse? A pneumothorax can be a complete lung collapse or a collapse of only a portion of the lung. Sometimes, a section of your lung or even your whole lung can collapse because of a blockage or a lack of pressure in tiny air sacs. It. What Are The Chances Of Surviving A Collapsed Lung.
From www.youtube.com
Xray in Lung Collapse YouTube What Are The Chances Of Surviving A Collapsed Lung Pneumothorax occurs when air gets in between the lung and the chest wall, causing the lung to collapse. It can make the chest feel tight and breathing difficult. What are the causes of a collapsed lung? A pneumothorax can be caused by a blunt. Sometimes, a section of your lung or even your whole lung can collapse because of a. What Are The Chances Of Surviving A Collapsed Lung.
From www.youtube.com
Collapsed Lung Causes, Symptoms and Treatments and More YouTube What Are The Chances Of Surviving A Collapsed Lung Can a collapsed lung happen again? Sometimes, a section of your lung or even your whole lung can collapse because of a blockage or a lack of pressure in tiny air sacs. Not produce any symptoms, normally symptoms are. It can make the chest feel tight and breathing difficult. Pneumothorax is the medical term for a collapsed lung. What are. What Are The Chances Of Surviving A Collapsed Lung.
From asthma.net
What Does A Collapsed Lung Feel Like? What Are The Chances Of Surviving A Collapsed Lung While a small pneumothorax may sometimes be asymptomatic, i.e. What are the causes of a collapsed lung? What is the outlook after a lung collapse? It can cause pain and extreme worry and certain cases can be. Pneumothorax is the medical term for a collapsed lung. It can make the chest feel tight and breathing difficult. Not produce any symptoms,. What Are The Chances Of Surviving A Collapsed Lung.
From www.verywellhealth.com
Stage 4 Lung Cancer Life Expectancy What Are The Chances Of Surviving A Collapsed Lung Not produce any symptoms, normally symptoms are. What is the outlook after a lung collapse? A pneumothorax can be a complete lung collapse or a collapse of only a portion of the lung. What are the causes of a collapsed lung? It can make the chest feel tight and breathing difficult. Sometimes, a section of your lung or even your. What Are The Chances Of Surviving A Collapsed Lung.
From www.shutterstock.com
Pneumothorax Disease Flat Vector Collapsed Lung Stock Vector (Royalty What Are The Chances Of Surviving A Collapsed Lung A pneumothorax can be a complete lung collapse or a collapse of only a portion of the lung. While a small pneumothorax may sometimes be asymptomatic, i.e. It can cause pain and extreme worry and certain cases can be. What is the outlook after a lung collapse? A pneumothorax can be caused by a blunt. Pneumothorax is the medical term. What Are The Chances Of Surviving A Collapsed Lung.
From www.researchgate.net
Fallen lung sign. Note the collapsed lung in a dependent position that What Are The Chances Of Surviving A Collapsed Lung Can a collapsed lung happen again? A pneumothorax can be caused by a blunt. What are the causes of a collapsed lung? It can make the chest feel tight and breathing difficult. Not produce any symptoms, normally symptoms are. Pneumothorax is the medical term for a collapsed lung. A pneumothorax can be a complete lung collapse or a collapse of. What Are The Chances Of Surviving A Collapsed Lung.
From www.drabhishekbali.com
Respiratory Conditions That Lead To A Collapsed Lung What Are The Chances Of Surviving A Collapsed Lung What is the outlook after a lung collapse? Sometimes, a section of your lung or even your whole lung can collapse because of a blockage or a lack of pressure in tiny air sacs. While a small pneumothorax may sometimes be asymptomatic, i.e. A pneumothorax can be a complete lung collapse or a collapse of only a portion of the. What Are The Chances Of Surviving A Collapsed Lung.
From www.babygaga.com
Baby With Rare Heart Defect, Respiratory Illness And Collapsed Lungs What Are The Chances Of Surviving A Collapsed Lung What is the outlook after a lung collapse? Not produce any symptoms, normally symptoms are. A pneumothorax can be a complete lung collapse or a collapse of only a portion of the lung. While a small pneumothorax may sometimes be asymptomatic, i.e. Pneumothorax is the medical term for a collapsed lung. A pneumothorax can be caused by a blunt. It. What Are The Chances Of Surviving A Collapsed Lung.
From www.verywellhealth.com
What Is Stage 2 Lung Cancer Life Expectancy? What Are The Chances Of Surviving A Collapsed Lung Not produce any symptoms, normally symptoms are. What are the causes of a collapsed lung? While a small pneumothorax may sometimes be asymptomatic, i.e. What is the outlook after a lung collapse? A pneumothorax can be caused by a blunt. A pneumothorax can be a complete lung collapse or a collapse of only a portion of the lung. Pneumothorax is. What Are The Chances Of Surviving A Collapsed Lung.
From onxmpiikdo.blogspot.com
How Do I Know If I Have A Collapsed Lung Examination of the chest by What Are The Chances Of Surviving A Collapsed Lung It can cause pain and extreme worry and certain cases can be. What are the causes of a collapsed lung? It can make the chest feel tight and breathing difficult. A pneumothorax can be caused by a blunt. A pneumothorax can be a complete lung collapse or a collapse of only a portion of the lung. What is the outlook. What Are The Chances Of Surviving A Collapsed Lung.
From www.slideserve.com
PPT Thoracic cavity, pleural space PowerPoint Presentation, free What Are The Chances Of Surviving A Collapsed Lung Pneumothorax is the medical term for a collapsed lung. What is the outlook after a lung collapse? What are the causes of a collapsed lung? Can a collapsed lung happen again? A pneumothorax can be caused by a blunt. A pneumothorax can be a complete lung collapse or a collapse of only a portion of the lung. While a small. What Are The Chances Of Surviving A Collapsed Lung.
From www.dailymail.co.uk
Toddler whose lungs collapsed during lifesaving cancer treatment What Are The Chances Of Surviving A Collapsed Lung It can cause pain and extreme worry and certain cases can be. Pneumothorax is the medical term for a collapsed lung. While a small pneumothorax may sometimes be asymptomatic, i.e. What is the outlook after a lung collapse? Not produce any symptoms, normally symptoms are. Sometimes, a section of your lung or even your whole lung can collapse because of. What Are The Chances Of Surviving A Collapsed Lung.
From curofy.com
?Lung collapse What Are The Chances Of Surviving A Collapsed Lung While a small pneumothorax may sometimes be asymptomatic, i.e. Pneumothorax occurs when air gets in between the lung and the chest wall, causing the lung to collapse. Sometimes, a section of your lung or even your whole lung can collapse because of a blockage or a lack of pressure in tiny air sacs. What is the outlook after a lung. What Are The Chances Of Surviving A Collapsed Lung.
From www.newshub.co.nz
Standard treatment for collapsed lungs found to be useless Newshub What Are The Chances Of Surviving A Collapsed Lung Not produce any symptoms, normally symptoms are. What are the causes of a collapsed lung? It can cause pain and extreme worry and certain cases can be. Sometimes, a section of your lung or even your whole lung can collapse because of a blockage or a lack of pressure in tiny air sacs. Can a collapsed lung happen again? What. What Are The Chances Of Surviving A Collapsed Lung.
From macsforcancer.com
Stages Of Lung Cancer Survival Rate And Prognosis Macs Clinic What Are The Chances Of Surviving A Collapsed Lung Pneumothorax is the medical term for a collapsed lung. While a small pneumothorax may sometimes be asymptomatic, i.e. Can a collapsed lung happen again? Not produce any symptoms, normally symptoms are. It can make the chest feel tight and breathing difficult. A pneumothorax can be caused by a blunt. A pneumothorax can be a complete lung collapse or a collapse. What Are The Chances Of Surviving A Collapsed Lung.